Orthodontics

null

null

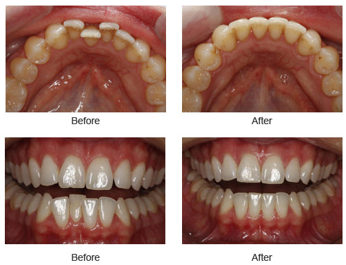
We have recently introduced the Inman Aligner to our practice. Inman Aligner is a device used to straighten crooked front teeth. It is very effective when used in the correct circumstances with the correct patient.

Straight teeth make cleaning your teeth easier which means you can keep your teeth and gums healthy. 

The Inman Aligner is a removable device which corrects mildly crowded front teeth. It must be worn for at least 20 hours a day but achieves straight aligned teeth between 6 and 16 weeks. That means you could straighten your front teeth in less than 4 months. 

Inman aligner is suitable for adults who are looking for a fast, effective way to straighten their front teeth without the need for fixed braces or "traintracks". It is removable which means if you have a meeting or a date you can take it out, once it remains in place for 20 hours a day. It can also be used in adults who previously had braces but their teeth have relapsed.

Did you once spend years undergoing painful orthodontic treatment and unsightly braces only to see your teeth slowly slip back to their former wonky ways? Are you one of many who are generally unhappy with the alignment of your teeth and longing for a beautiful, straight smile?

The Meath Dental Clinic is proud to introduce a new and leading edge cosmetic dentistry procedure that is taking the UK by storm – The Inman Aligner. This revolutionary concept sees protruding or crowded teeth transformed in a matter of weeks!

So how does it work?

The Inman Aligner is a clear plastic retainer with two spring loaded aligning bars that fit easily over the front four teeth. Unlike a regular brace, the Inman Aligner provides a constant gentle pressure on the teeth, easing them back into place far more quickly.

Apart from its aesthetic benefits, the Inman Aligner is easy to use and can be inserted and removed at any time, allowing eating, brushing (and kissing) to continue as normal. Once teeth have moved to the desired position, a very discreet retainer holds them in place, so they remain in their new position.

During the first consultation, an impression is made of the teeth and in the second, teeth are smoothed to make room for movement and the aligner fitted.For the duration of the treatment bi-weekly visits are required to review and adjust the aligner.

The Inman Aligner is priced from €1700 per arch with FREE Dental Examination and Fixed Retainer on completion.

For further details and to book an appointment please Contact Us on 01-4547464

If you are interested in seeing if the Inman Aligner is suitable for you Contact Us today for a FREE consultation.